새로운 사람을 만날 때 첫인상에서 가장 중요한 요소는 바로 미소입니다. 환한 미소는 그 자체로 호감을 주지만, 미소를 더욱 돋보이게 하는 핵심은 바로 깨끗하고 고른 치아에 있습니다. 요즘은 많은 사람들이 아름다운 치아를 갖기 위해 다양한 방법을 고려하고 있는데요. 그중에서도 라미네이트 시술이 주목받고 있습니다. 라미네이트 란? 무엇인지, 그리고 가격과 장단점에 대해 자세히 알아봅니다.
라미네이트 란?


"라미네이트 란"? 무엇인지 지금부터 심층적으로 알아보겠습니다. 주로 심미적 목적을 위해 사용되는 치과 시술 중 하나로, 손톱 위에 붙이는 인조 손톱처럼 치아 표면에 얇은 세라믹 막을 붙여 치아의 색상과 형태를 개선하는 방법입니다. 변색되거나 손상된 치아를 자연스럽게 복구하고 앞니의 배열을 고르게 만들어주는 효과가 있어 많은 이들에게 긍정적인 변화를 제공합니다.
라미네이트는 왜 필요할까요?
- 첫째, 색이 변한 치아를 밝게 개선합니다. 커피, 담배 등으로 인해 누렇게 변한 치아를 깨끗하고 하얗게 만들 수 있죠.
- 둘째, 앞니 사이에 틈이 생긴 경우 이를 고르게 연결해 보기 좋은 배열로 바꿔 줍니다.
- 셋째, 깨지거나 손상된 치아를 복구하여 원래 상태처럼 자연스럽게 보이게 합니다.
- 넷째, 튀어나온 치아를 다듬어 미소와 입술 모양을 더욱 매력적으로 만듭니다.
- 다섯째, 불규칙한 치아 배열을 정렬해 얼굴과 조화를 이루는 깔끔한 치아로 바꿀 수 있습니다.
치료 과정은 어떻게 진행되나요?
"라미네이트" 절차에서는 먼저 환자와 면담을 통해 시술 필요성을 분석하고 원하는 스타일과 형태를 결정합니다. 이후 치아 표면을 살짝 다듬고 세라믹을 부착하는 작업이 이루어집니다.


라미네이트의 장점은 자연스러움에 있습니다. 시술 후 치아가 티 나지 않으며, 비교적 짧은 시간 안에 고른 치아를 얻을 수 있다는 점이 매력적입니다. 더불어 세라믹 소재는 변색이나 마모에 강하기 때문에 오래도록 유지할 수 있습니다. 다양한 색상과 디자인으로 맞춤형 제작이 가능하다는 점도 빼놓을 수 없죠.
하지만 단점도 고려해야 합니다. 시술 과정에서 치아 일부를 제거해야 하기 때문에 원래 상태로 되돌릴 수 없는 점이 있고, 비용이 꽤 많이 들 수 있습니다. 시술 후에는 정기적인 관리가 필수적인데요, 적절한 구강 관리가 없다면 문제가 생길 가능성이 존재한다는 것을 유념해야 합니다.
라미네이트 가격은 얼마나 할까요?


라미네이트의 가격대는 매우 다양합니다. 평균적으로 한 개당 라미네이트 가격은 약 40만 원에서 80만 원 선이며, 치료 범위와 사용하는 재료에 따라 총 비용은 적게는 27만 원에서 많게는 270만 원까지 차이가 날 수 있습니다. 시술의 범위와 치과 전문가의 경력도 비용에 영향을 미치는 주요 요인입니다. 따라서, 라미네이트 가격이나 비용 뿐만 아니라 전문성과 만족도를 함께 고려하는 것이 중요합니다.
라미네이트 시술을 고민한다면 다음 사항을 반드시 염두에 두시면 시술전 도움이 될 것입니다.
- 치과 선택: 풍부한 임상 경험과 전문성을 갖춘 치과 전문의를 선택하세요.
- 관리 습관: 꾸준한 양치와 정기적인 치과 검진으로 시술 후에도 건강한 치아 상태를 유지하세요.
- 상담 과정: 개인 상태를 충분히 파악할 수 있는 상담을 통해 최적의 시술 방식을 알아보세요.
"라미네이트" 시술은 미관상의 목적뿐 아니라 자신감을 높이는 데에도 큰 역할을 하지만, 단순히 외모만 보기보다 현재의 치아 상태와 장기적인 영향을 종합적으로 고려해야 합니다. 특히 무턱대고 치아를 삭제하면 나중에 부작용이 발생할 수도 있으니 신중한 선택이 필요합니다.
치아보험 비교 사이트 어디가 좋나요? 가입조건 6가지
최근 저는 치통이 점점 심해져서 제대로 잠을 잘 수 없을 정도로 고통스러운 상황을 겪게 되었고, 결국 치과를 찾아가 진단을 받았습니다. 의사로부터 치아 임플란트 치료가 필요하다는 소견을
wikinote.inforank.net
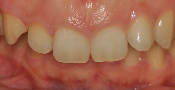
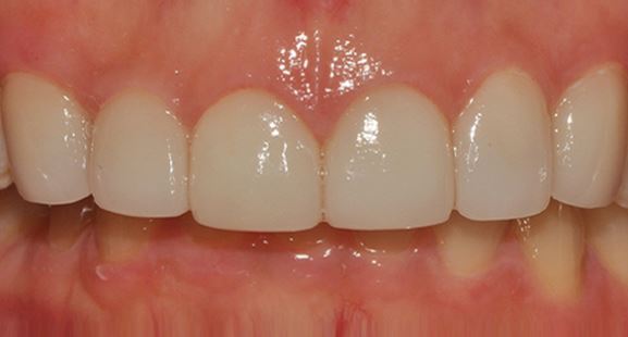
치아의 심미적인 향상을 위해 라미네이트 시술을 고민하는 사람들이 점점 늘어나고 있습니다. 하지만 주변 치아와의 조화를 충분히 고려하지 않는다면 부자연스럽고 어색한 결과를 초래할 수 있습니다. 게다가 단순히 예쁜 치아를 얻기 위해 섣불리 치아를 삭제하면, 시간이 지나면서 심각한 부작용이 나타날 가능성도 존재합니다. 따라서 본인의 치아와 조화롭게 어우러질 수 있도록, 자연 치아를 최대한 보존하며 정교한 기술력을 갖춘 곳에서 충분한 상담을 받아보는 것이 중요합니다.

